Hamilelerde Ağız Bakımı

Hamilelerde Ağız- Diş Sağlığı Problemleri ve Probiyotik Kullanımı
Normal dönemlere kıyasla, hamilelik dönemi geçirmekte olan bireylerde vücudun salgılamış olduğu horman düzeylerinin değişiklik göstermesi son derece normaldir. Aynı şekilde bu hormonal değişikliklerden ağız ortamı da etkilenecektir.
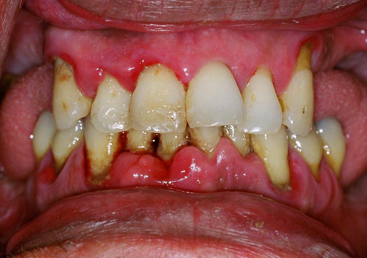
Örneğin, bazı kadınlarda "gebelik diş eti iltihabı" olarak bilinen ve diş etlerinde şişme ve hassasiyete neden olabilen bir iltihaplanma durumu gelişebilir. Bu tür bir durumda fırçalama ve diş ipi kullanımı esnasında küçük kanamalar görülebilir.
Diş çürüğü oluşma riski artabilir. Hamilelik döneminde ,her zamankinden daha fazla karbonhidrat yiyorsanız , bu durum çürüme tehlikesi oluşturabilir. Hamilelikteki sabah bulantıları ağzınızın maruz kaldığı asit miktarını artırabilir ve bu da dişinizin minesine zarar verebilir.
Gebelik Tümörleri
Hamilelik döneminde bazen diş etlerinde, genellikle ikinci trimesterde "gebelik tümörleri" adı verilen aşırı doku büyümeleri görülebilir. Bunlar kanser değildir, daha çok dişler arasında oluşan şişliklerdir. Genelde yetersiz ağız bakımı ve kötü ağız hijyeni ile ilişkilendirilirler. . Kolaylıkla kanamaya eğilimlidirler ve kırmızı, çiğ ahududu benzeri bir görünüme sahiptirler. Gebeliğin son dönemlerinde oluştuğu için tedavisi açısından anestezik madde almayı gerektiren girişimler sorun yaratabilir. Doğumdan sonra genellikle ortadan kaybolur, ancak endişeleriniz varsa, diş hekimlerinizle tedavi konusunda görüş alışverişinde bulunulabilir.
Hamilelik esnasında sabah bulantısı, artan öğürme refleksi, hassas diş etleri ve bitkinlik gibi pek çok nedenden ötürü günde iki kez fırçalama ve bir kere diş ipi kullanma sıklığı azalabilir. Oysa yapılması gereken bunun tam tersi olup , her zamankinden daha fazla dikkat edilmesi gerekmektedir.

Hamilelerde Ağız Probiyotiği Kullanılması
Hamilelik döneminde hormonal değişikliklere bağlı gelişen ağız ve diş problemlerinin birçoğu yetersiz ağız bakımı neticesinde oluşmaktadır. Cerrahi girişimler veya anestezik ilaçların kullanımını gerektiren bazı diş tedavilerinin yapılması hamileliğin bazı dönemlerinde sakıncalı olabileceği için bu durum ciddi sıkıntılara neden olabilmektedir.
Kısacası yapılması gereken en doğru hamle, hamilelik dönemlerinde oluşan ağız ve diş sağlığı problemlerinin çözümü yerine , bu problemlerin oluşmasına mani olmak ve mümkünse hiç oluşturmamaktır. Ağzımızda meydana gelen dişeti iltihabı, ağız kokusu, ağız mantarları vs..gibi problemlerin çoğunun bakteri kaynaklı olduğu düşünüldüğünde, belki de en doğru yaklaşım ağzımızdaki faydalı bakterilerin sayısını arttırıp, zararlı bakterilerle mücadelemizi çok daha kolay bir hale getirmektir. Bu amaçla özel olarak üretilen ağız probiyotiklerinin kullanılması hamilelik döneminde de ciddi faydalar sağlayacaktır. Ağız probiyotiği kullanımı neticesinde ağzımızda var olan Iyi Bakteri – Kötü Bakteri dengesi, iyilerin lehine doğru değişeceği için oluşabilecek bir çok ağız ve diş probleminin önüne geçilmiş olacaktır.
Comments
- No comments found

Leave your comments